Uniportal Right Upper Lobectomy [1]

Since video-assisted thoracoscopic surgery (VATS) was described for anatomic lobectomies, many technical variations have been published. The uniportal technique, which enables the entire procedure to be performed through a single port, was recently introduced. This video shows a uniportal VATS lobectomy for lung cancer treatment.
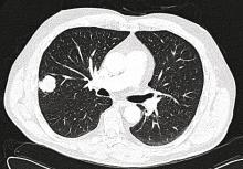
Image 1: Computed tomography showing the 3 x 2.8 cm lesion in the right upper lobe
Image 2: Surgical field and monitors
Image 3: External aspect of the incision with the chest tube (28Fr)


